Do you know how to save a knocked out tooth?

Whether it’s on the field, the court, at school, or at home, a knocked out tooth can be scary for both the child and the parent. Some of the most important steps to save a knocked out tooth are often missed due to the shock and chaos that usually unfolds following dental trauma.
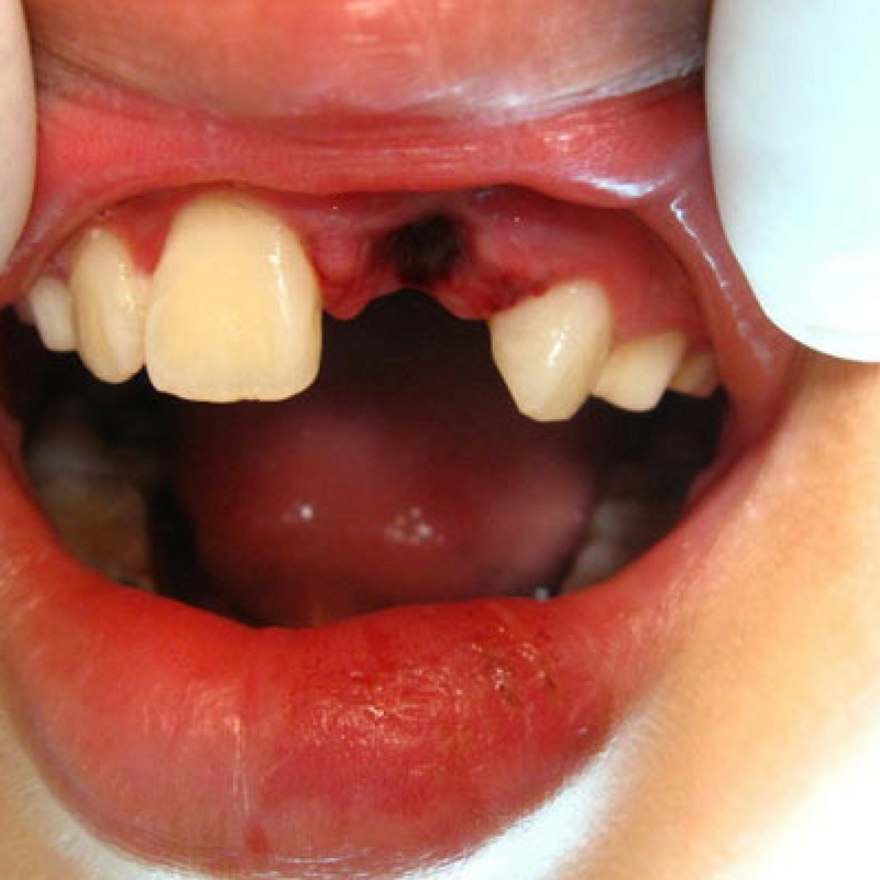
At the initial time of the trauma, you should access the patient and make sure that no head or neck injury occurred during the trauma. Once head and neck injury is ruled out, then you can assess the oral cavity to see what damage has been done. If the teeth look moved out of line from their normal position DO NOT try to put them back into place! Immediately call your nearest Pediatric Dental Specialist and schedule an appointment as soon as possible.
Most Pediatric Dentists are trained on how to save a knocked out tooth. Dr. Payam Amirsayafi located in Stafford, VA happens to be a member of the Academy for Sports Dentistry, and highly trained and knowledgeable in these specific cases. He sees patients in the surrounding areas of Woodbridge VA, Manassas VA, Quantico VA, Fredericksburg VA, and Warrenton VA.
Avulsed Tooth

In the case of a tooth being avulsed (completely knocked out of the socket) promptly locate the avulsed tooth, and place it back in the socket immediately. If the child is not cooperative or trauma prevents re-implantation, then placing the tooth in a storage media to maintain moisture and prolong vitality to help save a knocked out tooth.
Below are some examples of storage media’s in case of an avulsed tooth in order from most recommended to least recommended:
Hank’s Balanced Salt Solution (HBSS)
The most optimum storage media that are available have been shown to be pH balanced cell preserving solutions. The best known and most extensively tested is called Hank’s Balanced Salt Solution (HBSS). It has all of the metabolites such as Ca, phosphate ions, K+ and glucose that are necessary to maintain normal cell metabolism for long periods of time. HBSS has been extensively tested in dental and medical research for the past twenty years.
Milk
Milk has been also recommended as a storage medium for avulsed teeth. Its advantage is the high availability of fresh cold whole milk. Only whole milk can be used for tooth preservation. Skim milk and heavy cream do not have the correct fluid pressure and will cause damage to the root cells. Milk has no observed regenerative properties for cells on knocked out teeth.
It was discovered 30 years ago that milk was less damaging to knocked out teeth than water or saliva. It was recommended because it has a compatible osmolality (fluid pressure) to tooth root cells and it is thought to be readily available.
Saliva
Have your child spit in a cup then placed the avulsed tooth in there. Placing the tooth under the accident victim’s tongue or in the cheek has the danger of being swallowed.
Avoid storage in water. Most cases of tooth avulsion will require root canal treatment, 7-10 days after re-implantation.